
肾脏,作为人体的“过滤器”,每天默默无闻地处理着约180升血液,排除废物,调节水盐平衡。当肾脏出现问题时,早期症状往往不明显,而超声检查就像一位精准的“侦探”,能够无创、便捷地发现肾脏的异常。
肾脏超声能做什么?
肾脏超声检查是一种利用声波成像的技术,没有辐射,对人体完全无害。它可以清晰显示肾脏的大小、形态、位置、结构以及血流情况,为临床医生提供重要诊断依据。
肾脏大小和形态
正常成人肾脏长约10-12厘米,厚约4-5厘米。通过超声测量,医生可以判断肾脏是否萎缩(常见于慢性肾病)或增大(常见于急性炎症、肿瘤等)。肾脏轮廓是否光滑、边界是否清晰,也能反映肾脏健康状况。
肾囊肿与肾肿瘤

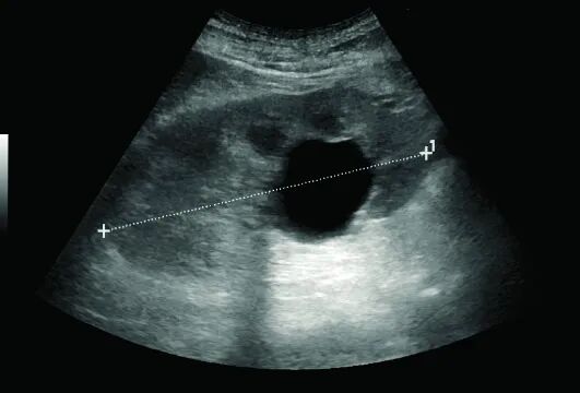
肾囊肿
肾囊肿是常见良性病变,超声下表现为圆形或类圆形的无回声区,边界清晰,后方回声增强。简单囊肿通常无需处理,但复杂囊肿可能需要进一步检查或随访。
肾肿瘤则表现为肾脏内的实性肿块,边界不清,内部回声不均。超声可以初步判断肿瘤的性质,并引导穿刺活检明确诊断。
肾结石与肾积水

肾积水
肾结石在超声下表现为强回声光团,后方伴有声影。超声不仅能发现结石,还能判断其大小、位置以及是否引起肾积水。
肾积水是指尿液排出受阻导致肾盂肾盏扩张,超声可见肾盂分离,内为无回声区。及时发现肾积水对保护肾功能至关重要。
肾脏血流评估
彩色多普勒超声可以观察肾脏的血流灌注情况,评估肾动脉狭窄、肾静脉血栓等血管性疾病。对于高血压患者,肾动脉超声有助于排查肾性高血压。
移植肾评估
对于肾移植患者,超声是监测移植肾状况的首选方法。它可以评估移植肾的大小、形态、血流情况,及时发现排异反应、血管并发症等。
在肾脏疾病超声诊断领域,大为医疗凭借先进的超声成像技术,为临床提供精准、高效的诊断支持。大为医疗超声设备具备以下突出优势:
全面的肾脏检查能力:大为超声可迅速判断肾脏位置、形态和大小,清晰显示肾皮质、肾髓质的厚度和回声强度,准确评估肾窦区回声结构及其比例,及时发现肾积水、结石、囊肿、肿瘤等各种异常。
多场景设备选择:大为医疗提供从高端台式彩超到便携式、掌上超声的完整产品线。台式机型搭载自研“云海”超声运行平台,呈现更清晰、更真实的超声图像;便携式彩超轻巧便携,方便床旁检查和移动医疗;无线掌上超声玲珑系列更是将超声检查延伸至诊室之外,适用于急救、基层医疗等多种场景。
介入引导精准:大为超声具备穿刺引导功能,可配合穿刺架使用,为肾穿刺活检、肾囊肿硬化治疗等介入操作提供精准引导。
临床验证可靠:大为医疗超声设备经过严格的安全性有效性评价,符合国家标准,可满足腹部、泌尿系统、小器官等多种临床诊断需求。
肾脏超声检查通常无需特殊准备,但如果同时检查肾血管或肾上腺,可能需要空腹。检查时,患者取侧卧位或俯卧位,医生会在背部或侧腹部涂抹耦合剂,用探头进行检查,整个过程无痛,约10-15分钟。
超声检查以其无创、便捷、经济、可重复等优势,在肾脏疾病的筛查、诊断、治疗和随访中发挥着不可替代的作用。定期进行肾脏超声检查,尤其对于高血压、糖尿病、有肾脏病家族史等高危人群,有助于早期发现肾脏问题,保护肾脏健康。
大为医疗以服务人类健康为事业,坚持推进医疗器械产业创新和高质量发展,为肾脏疾病诊断提供精准可靠的超声解决方案。如果您有任何肾脏相关的症状或疑虑,请及时就医,超声检查或许能为您提供重要线索。肾脏健康,从一次简单的超声开始!